合作客戶/
拜耳公司 |
同濟大學 |
聯合大學 |
美國保潔 |
美國強生 |
瑞士羅氏 |
相關新聞Info
推薦新聞Info
-
> 基于表面光散射法的棕櫚酸甲酯/乙酯高溫表面張力與黏度測量(三)
> 基于表面光散射法的棕櫚酸甲酯/乙酯高溫表面張力與黏度測量(二)
> 基于表面光散射法的棕櫚酸甲酯/乙酯高溫表面張力與黏度測量(一)
> 不同礦漿濃度、粒度、伴生礦物、捕收劑和起泡劑對礦漿表面張力的影響(三)
> 不同礦漿濃度、粒度、伴生礦物、捕收劑和起泡劑對礦漿表面張力的影響(二)
> 不同礦漿濃度、粒度、伴生礦物、捕收劑和起泡劑對礦漿表面張力的影響(一)
> 長慶油田隴東地區的CQZP-1助排劑表/界面張力測量及現場應用(三)
> 長慶油田隴東地區的CQZP-1助排劑表/界面張力測量及現場應用(二)
> 長慶油田隴東地區的CQZP-1助排劑表/界面張力測量及現場應用(一)
> 液膜斷裂點與電壓最大值在表面張力測量中的對比研究(二)
不同種類的抗菌肽瓜娃素與生物膜之間的相互作用的性能對比【下】
來源:上海謂載 瀏覽 2144 次 發布時間:2022-07-05
隨后,我們進行了如上所述的相同測量,但使用了temporin L。將temporin L添加到SOPC LUV中后,Ie和Im均降低(圖4,面板A和B),其減量在肽:脂質摩爾比下趨于穩定≈1:8.當膽固醇(Xchol)0.10)包括在SOPC LUV中時,Ie和Im的減少有所減少,再次在1/1的時間脂質化學計量比穩定下來≈1/8.當存在酸性磷脂POPG時,肽的作用非常不同。與temporin B相反,temporin L降低了含有酸性磷脂POPG的LUV的Im,在XPOPG)0.10時影響最大(圖4,面板A)。有趣的是,在XPOPG)0.10時,明顯存在明顯的不連續性,對應于POPG:temporin L摩爾比為1:1,因此表明形成了化學計量絡合物。Im的減少在時間蛋白L:脂質摩爾比下趨于穩定≈1:5在XPOPG)0.10,而在XPOPG)0.20和0.40(圖4,面板A)時,連續衰減很明顯。隨著脂質體中POPG含量的增加,Im的減少逐漸減弱。在XPOPG)0.10時,當時間蛋白L:脂質摩爾比為e時,Ie的值低于SOPC LUV的值≈1:8.超過該化學計量比,Ie的最大減量在XPOPG)0.10時明顯,并且在時間蛋白L:脂質摩爾比下減量達到平臺≈1:5(圖4,面板B)。與Im類似,隨著XPOPG的增加,由時間蛋白L引起的Ie減少逐漸減弱。圖5,面板A描述了Temporain L對Ie/Im的影響。添加Temporain L后,SOPC LUV的Ie/Im略有增加(圖5,面板A),而在存在POPG時觀察到顯著增加。有趣的是,在XPOPG)0.10、0.20和0.40下,由于Temporain L導致的Ie/Im增量的微小差異很明顯≈1:10.然而,當時間蛋白/脂質的化學計量比大于≈1/8,在XPOPG)0.20和0.40時Ie/Im的增量顯著高于XPOPG)0.10時的增量。同樣,在XPOPG)0.40時,Ie/Im進一步增加,高于1/1的時間蛋白/脂質化學計量比≈1/6(圖5,面板A)。
圖5:通過芘標記的磷脂PPDPC(X)0.01)的熒光和DPH(X)0.002的穩態發射各向異性r評估顳葉素L對LUV中脂質動力學的影響,顯示為含XPOPG)0(0)、0.10(9)、0.20(B)和0.40(2)的SOPC脂質體中歸一化準分子與單體比率r(Ie/Im)(圖A)和各向異性r(圖B)的變化,Xchol)0.10(3)。每個數據點代表三次測量的平均值。標準偏差小于0.02(面板A)和0.004(面板B),為清楚起見,未顯示。否則情況如圖2圖例所示。
為了與上文所述的temporin B相同的目的,我們還測量了由temporin L誘導的DPH各向異性r的變化。與temporin B類似,當將temporin L添加到SOPC和SOPC/膽固醇(Xchol)0.10)LUVs中時,r只有輕微變化(圖5,面板B)。然而,在含酸性磷脂的膜中,時間蛋白L導致酰基鏈順序強烈增加,明顯表現為DPH各向異性顯著增加(圖5,面板B)。r的增量隨著膜中XPOPG的增加而逐漸增加,高于時間蛋白L:脂質摩爾比≈1:6.由于Temporain L導致含SOPC和酸性磷脂的膜的Ie/Im顯著增加,熒光脂質PPDPC在這些膜中富集。
時間蛋白對膜拓撲結構的影響。巨大脂質體是生物膜的優秀模型,因為其尺寸與細胞相當。此外,它們可以通過光學顯微鏡進行觀察(15,21)。我們之前對馬加寧2和吲哚肽的研究表明,這些肽對巨大脂質體膜的拓撲結構有顯著影響(15)。在本研究中,在類似條件下,通過顯微鏡觀察了在巨大囊泡外表面添加這些肽后,temporins對巨大脂質體三維拓撲結構的影響。SOPC巨脂質體即使暴露于大量該肽(約1.2 fmol的temporin B)(每個重復100份12 amol)時,也不受temporin B的影響。同樣,含有膽固醇(Xchol)0.10)的巨大囊泡也不受該量的顳葉素B的影響。然而,在將該肽添加到SOPC和SOPC/膽固醇(Xchol)0.10)巨大脂質體的表面時,偶爾會觀察到相鄰囊泡之間的粘附(數據未顯示)。然而,在POPG(XPOPG)0.10的存在下,已經≈36 amol(10-18 M)的顳葉素B(約60 fL,3次注射)施加在巨大囊泡表面上,引起巨大囊泡膜拓撲結構的顯著變化(圖6,面板B)。具體來說,小顆粒(φ≈10μm),然后進入巨大脂質體的內腔(圖6,面板B)。進一步增加≈0.24 fmol的顳蛋白B(約400 fL,20次注射)導致巨大囊泡內這些顆粒的數量增加(圖6,面板C)。還觀察到巨大囊泡表面的顆粒聚集(圖6,面板C)。隨后,在≈10分鐘后,將顆粒轉移到巨大脂質體的內腔中。
圖6:temporin B誘導的巨大SOPC/POPG(XPOPG)0.1)脂質體轉化的HMC圖像。添加temporin B之前的巨大囊泡(圖a),應用后5秒≈36 amol顳蛋白B(面板B),添加≈0.24 fmol的顳蛋白B(面板C)。面板C中比例尺的長度對應于50μm。
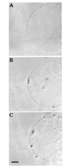
然后我們研究了顳葉素L對巨大脂質體的影響。圖7所示的圖像序列說明了由于temporin L引起的SOPC巨大脂質體的轉化。有趣的是,大約12 amol temporin L(1次注射)已經影響了SOPC膜的外觀,在添加肽后1秒內,巨大囊泡內出現聚集結構(圖7,面板B)。此外,相鄰的巨大囊泡也受到類似囊泡形成的影響(圖7,面板B,研究的巨大脂質體下方)。進一步添加temporin L(最多≈0.12 fmol,共10次重復注射)不會誘導進一步的囊泡形成,而兩個“內吞”聚集體粘附在肽微注射部位的巨大脂質體表面。大約5分鐘后,這兩個“內吞”聚集體粘附在一起,在巨大囊泡內形成一個更大的聚集體結構(圖7,面板C)。與顳葉素L對SOPC巨脂質體的作用類似,該肽在POPG(XPOPG)0.10存在下誘導類內吞過程,圖8)。更具體地說,在添加約12 amol的temporin L(1次注射)后,暴露于肽的巨大脂質體表面的區域變暗,顯示折射率的顯著變化,并指示形成緊密堆積的三維結構,僅部分保留在焦平面中(圖8,面板B)。在內部≈1秒后,巨大脂質體內出現了小顆粒聚集體和暗區(圖8,面板C)。同時,還觀察到相鄰巨大囊泡中的囊泡形成(圖8,圖B和圖C)。隨后總共增加了≈24阿米爾的顳葉素L(2次注射)使另一組“內吞”小顆粒出現在巨大脂質體內,與先前形成的聚集體粘附(圖8,面板D)。之后≈1分鐘,其中一些顆粒(φ≈8μm)從巨大脂質體內的雙層釋放(數據未顯示)。有趣的是,在進一步添加約12 amol的Temporain L(總共3次注射)后,分離的小顆粒再次聚集,暗區的面積增加(圖8,面板E)。暗區面積的增加通過添加另一個≈24 amol temporin L(共5次注射)。幾分鐘后,聚集的“內吞”小顆粒進入巨大囊泡的內腔,而膜表面的暗區消失(圖8,面板F)。同時觀察到相鄰的巨大脂質體的囊泡形成。有趣的是,在膽固醇(Xchol)為0.10的情況下,需要更多的時間蛋白L來誘導囊泡形成(圖9)。然而,在添加約0.24 fmol(20次注射)的Tempolin L后,小顆粒的“內吞”聚集物以及≈巨大脂質體內出現直徑為9μm的顆粒(圖9,面板B)。隨后添加≈0.24 fmol的肽(共40次注射)在巨大囊泡內誘導另一組小顆粒,約30秒后與第一個聚集物合并(數據未顯示)。然而,隨后進一步添加temporin L(高達約1.2 fmol,100次注射)對巨大脂質體膜沒有進一步的可見變化。
圖7:添加temporin L之前,添加temporin L后1s,由temporin L.巨大囊泡引起的SOPC巨大脂質體轉化的HMC圖像(圖a)≈12 amol的temporin L(面板B),并在應用總計≈0.12 fmol的temporin L(面板C)。面板C中比例尺的長度對應于50μm。
圖8:HMC圖像,描繪了應用temporin L之前以及添加temporin L后立即(面板B)、1秒(面板C)由temporin L.巨大囊泡誘導的巨大SOPC/POPG(XPOPG)0.1)脂質體的轉化≈12 amol Temporain L,并在添加后立即(面板D)≈24 amol的顳葉素L。在注射了總計≈36 amol(E組)的temporin L,以及在添加總計≈60 amol temporin L。面板F中比例尺的長度對應于50μm。
圖9:HMC圖像序列,說明了在添加肽之前(圖a)和應用肽后立即通過temporin L.巨大囊泡轉化SOPC/膽固醇(Xchol)0.10)巨大脂質體≈0.24 fmol的temporin L(面板B)。面板B中比例尺的長度對應于50μm。
討論
我們的長期目標是建立最低的序列要求,這可以進一步作為設計新型抗菌肽類似物的指導原則。我們之前已經比較了兩種抗菌肽,馬蓋寧2和吲哚肽對本研究中使用的相同模型膜系統的影響,即。,單層、脂質體和巨大囊泡(15)。我們早期研究中使用的肽是選擇的,因為它們代表兩種不同類型的抗菌肽家族。在本研究中,我們使用了兩種13個氨基酸的肽,即與吲哚肽長度相似的肽。肽的結構參數不同,如電荷、構象、疏水性、疏水力矩和大小(表1)。有趣的是,在所研究的四種肽中,以摩爾為基礎計算的時間蛋白L最有效,作用于中性和酸性磷脂膜。與其他三種肽相比,其凈陽離子電荷和疏水性具有平均值(表1)。然而,在所示的肽中,temporin L具有最高的平均疏水力矩,這表明這可能是與其有效的膜擾動作用相關的一個重要參數,這與之前比較magainin 2和其他抗菌肽的研究一致(31)。
雖然上述抗菌肽對模型生物膜的作用存在明顯差異,但也存在一些明顯的相似之處。所有四種肽與脂質的相互作用可以根據不同的過程進行表征,如下所示。肽首先結合并插入膜。這一過程通過與酸性磷脂形成復合物而得到增強,并涉及形成復合物。插入伴隨著酰基鏈順序的增加。由于閾值肽:脂質摩爾比,整體相互作用是協同的,意味著形成由肽酸性磷脂復合物組成的聚集結構。最后,還形成了更宏觀的聚集體,這在顯微鏡圖像中很明顯。在下文中,我們將討論上述過程以及提供各自驅動力的潛在機制。
與馬加寧2和吲哚西啶(15)類似,顳葉素B和L都具有高度的膜活性(圖1)。同樣,在酸性磷脂存在的情況下,所有四種肽與單分子膜的相互作用增強,與其凈正電荷保持一致(表1)。CD光譜表明,在疏水環境中,temporins采用R-螺旋結構(13,Zhao和Kinnunen,未發表的數據)。此外,它們的螺旋輪投影揭示了兩親性。temporin B引起的π增加的動力學與temporin L的動力學不同(圖1,圖A和B),表明在前一個肽最初插入脂質膜后,構象和/或方向發生了變化。換句話說,時間蛋白B與脂質單層的相互作用將包括以下步驟,即:(i)顳蛋白B與單層表面的結合,(ii)顳蛋白B嵌入脂質膜,其長軸可能平行于膜平面,以及(iii)肽的快速重新定向,垂直于單層表面。因此,后一個過程將導致觀察到的π突然下降(圖1,面板B)。然而,也可能在(iii)期間,與肽相關的一些POPG分子的方向不同于單分子膜大部分的磷脂,如吲哚肽(15)所示。
POPG的存在導致增強?π由于時間蛋白B在π<32 mN/m時,后一個值因此代表了?π-π0圖,類似于吲哚肽(15)。因此,低于后一個表面壓力,?π隨著XPOPG的增加而逐漸增加,而在π>32 mN/m時觀察到相反的情況。一個類似的“交叉”點,盡管在更高的表面壓力為≈43 mN/m對Temporain L也很明顯(圖1,面板D和E)。然而,對于該肽,隨著XPOPG的增加,πc明顯減少(圖1,圖E)。“交叉”點≈在我們之前的研究中觀察到吲哚肽為38 mN/m。然而,有趣的是,magainin 2(15)沒有這種特征。“交叉”點對這些肽作用機制的可能意義值得進一步研究。對于真核細胞質膜,平衡側壓力估計為≈32 mN/m(有關簡要回顧,請參閱16、32)。據我們所知,原核生物膜的平衡側壓力未知。然而,似乎可以合理地假設,雙層的基本物理化學性質可以決定兩種類型細胞中的側向壓力大小相似。從定性上講,更具表面活性的肽,顳葉素L和吲哚肽,具有較高的“交叉”壓力值。
本文報道的顳葉素B和顳葉素L對雙層脂質動力學的影響與之前報道的馬蓋寧2和吲哚肽的影響極為相似(15)。因此,DPH各向異性r的增加表明,在酸性磷脂POPG存在的情況下,所有這些肽都增加了酰基鏈順序,這種作用的幅度隨著XPOPG的增加而增加。同樣,在酸性磷脂的存在下誘導脂質分離。所有這些效應都表明了酸性磷脂以及肽的陽離子電荷對于后者與生物膜相互作用的重要性。對于magainin 2和Tempolin B,在POPG存在下,SOPC和SOPC/膽固醇(Xchol)0.10)脂質體中的芘熒光猝滅被消除,而對于Tempolin L和吲哚青素,無論脂質成分如何,都觀察到了這一過程。芘和色氨酸之間的π-π相互作用以及肽(15)的堿性殘基與熒光團的接觸導致π-陽離子相互作用(33)可能參與猝滅。此外,在肽的存在下,熒光團的微環境可能變得更親水,從而降低熒光量子產率。與馬蓋寧2和吲哚肽(15)相反,在膽固醇(Xchol)0.10存在的情況下,由Temporanins B和L引起的芘淬滅減弱,因此表明膽固醇可能抵消后兩種肽的膜插入。
在XPOPG)0.40時,顳葉素B在肽:脂質摩爾比為≈1:30而在該化學計量比之上,Ie/Im降低(圖3,面板A)。由于在XPOPG)0.40處,顳蛋白B與膜的強烈相互作用,不同的作用可能有助于減少芘脂質類似物的準分子形成,如下所示。首先,膜結合的顳蛋白B可以代表熒光探針橫向擴散的機械屏障。換句話說,膜相關肽可以通過占據探針的相鄰位置靜態減少準分子的形成,從而增加芘標記脂質在碰撞之間擴散的路徑長度。其次,由于肽-脂質相互作用,鄰近肽的脂酰基鏈的旋轉自由度可能會降低。第三,與肽相鄰的脂質可以部分固定,因此它們的交換頻率(以及該區域中芘分子的交換頻率)顯著低于大塊脂質基質中的交換頻率。相反,對于temporin L,Ie/Im的值隨著XPOPG的增加而逐漸增加。同樣,當肽:脂質摩爾比>1:6時,DPH各向異性r的增加取決于XPOPG(圖5)。該化學計量學可表示閾值濃度,高于該濃度時,酸性磷脂膜中發生協同肽插入和重排。temporin L的單個Trp殘基可以促進其分配到脂質雙層(34),并且在酸性磷脂存在的情況下,temporin L可能插入膜更深,或者膜中的肽量可能隨著XPOPG的增加而增加。與含有五個色氨酸殘基的吲哚西啶相比,temporin L只有一個色氨酸殘基,凈正電荷少一個(表1)。然而,顳葉素L在含SOPC和POPG的膜中更有效地淬滅芘標記的脂質。顳葉素L比吲哚肽疏水性更強,具有更大的疏水力矩(表1)。這些性質可以促進顳葉素L插入脂質雙層。
我們對芘標記脂質的研究表明,temporin B和temporin L在SOPC以及SOPC/POPG膜中引起脂質側向分離,從而形成富含肽的微區。對于酸性磷脂膜,這些結構域可能與雙層中孔的形成有關。帶負電的脂質的存在有助于減少帶正電的肽之間的排斥靜電,從而允許它們在膜中聚集。更具體地說,正如馬加寧2和吲哚肽(15)所建議的那樣,肽首先會積聚在雙層的外小葉中。在達到閾值表面濃度后,雙分子層中的肽將以合作的方式重新定向。因此,當陽離子肽和酸性磷脂在雙層表面上共分離成微區時,可實現高局部肽濃度。然后,這種不對稱性將通過形成由肽和脂質的超分子聚集體構成的“通道”或“孔”來緩解,從而允許肽擴散到雙層的內小葉中。同時,雙層結構將局部失穩。孔形成作為這一過程的中間步驟是可以想象的,因為時間蛋白已被證明可誘導脂質體包埋熒光探針的釋放(13)。較長的線性肽,如馬蓋寧2和mellitin在人工膜中形成孔(28、35),跨膜肽通道的最小長度約為23個殘基。就時間蛋白而言,區分目前提出的孔隙模型將特別有趣。它們可以以更復雜的方式形成孔,可能涉及肽的二聚化(9)。與馬蓋寧2和顳葉素B相反,顳葉素L和吲哚西啶會引起SOPC和SOPC/膽固醇(Xchol)0.10)巨大囊泡的水泡化,這可能與其溶血活性有關(36,Simmaco,M.,未發表的觀察結果)。在這方面,比較上述抗菌肽與從歐洲蜜蜂中分離出的高度溶血性肽mellitin的效果很有意義。抗菌肽magainin 2和temporin B對含有負電荷磷脂的膜有顯著影響,而對中性膜的影響較小。雖然溶血肽temporin L和indolicidin優先與酸性磷脂結合,但它們也與兩性離子膜表現出強烈的相互作用。顳葉素L尤其如此,它誘導中性巨囊泡的顯著囊泡化。有趣的是,mellitin在兩性離子膜中誘導各種形態不同的相,這取決于肽脂比和脂質的相態,包括多層膜的囊泡化、小脂質囊泡的融合,以及碎裂成圓盤和膠束(37)。然而,在帶負電的磷脂POPG存在下,其滲透兩性離子磷脂囊泡的能力顯著降低。提出了中性多層膜中的跨雙層取向,但在帶負電的多層膜中沒有(38)。因此,這些數據表明兩性離子膜和這些肽之間存在明顯的疏水相互作用,使后者溶血,而靜電相互作用似乎是其抗菌活性所必需的。為此,哺乳動物質膜的外小葉僅由兩性磷脂組成,而細菌膜包含大量酸性磷脂、磷脂酰甘油和心磷脂(39)。
有趣的是,我們實驗室迄今為止研究的所有肽在巨大囊泡中也誘導類似內吞的過程,然而在聚集結構中觀察到的差異表明四種肽與膜的結合模式不同。顯微鏡圖像顯示宏觀聚集體的形成是不對稱的,即發生在巨大的囊泡內。與我們關于鞘磷脂酶形成神經酰胺的研究類似(21),抗菌肽作用的矢量性質表明,其不對稱應用于外表面會增加膜的彎曲剛度和負的自發曲率。然而,機制的闡明需要進一步研究。顯微鏡下可見的聚集體的性質令人感興趣。為此,提出了層狀液晶相不代表熱力學平衡的可能性。因此,已證明二甲基磷酸甘油轉化為所謂的“海綿”相(40)。控制這一階段形成的因素仍知之甚少;然而,脂質-頭群相互作用似乎很重要。一個有趣的可能性是,除了對雙層膜的其他作用外,這些抗菌肽還可以觸發細菌脂質磷脂酰甘油從層狀液晶狀態過渡到“海綿”相,后者代表熱力學平衡。在熱力學水平上,這也將為在巨大脂質體中觀察到的肽-脂質復合物的宏觀聚集提供驅動力。然而,在這種情況下,機械基礎也需要進一步研究。





